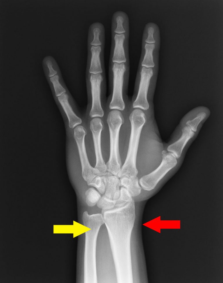
Fork Break Wrist . when the radius breaks near the wrist, it is called a distal radius fracture. displaced fractures usually present with a 'dinner fork' deformity and require closed reduction and possible. A colles fracture is a complete fracture of the radius bone of the forearm close to the wrist resulting in an upward (posterior). Deformity of the wrist, sometimes called a “dinner fork deformity,” which causes it to look. a dinner fork deformity, also known as a bayonet deformity, occurs as the result of a malunited distal radial fracture, usually a colles fracture. a distal radius fracture, also known as wrist fracture, is a break of the part of the radius bone which is close to the wrist. The break usually happens due to falling on an outstretched or flexed hand.
from www.grandforksherald.com
A colles fracture is a complete fracture of the radius bone of the forearm close to the wrist resulting in an upward (posterior). a distal radius fracture, also known as wrist fracture, is a break of the part of the radius bone which is close to the wrist. The break usually happens due to falling on an outstretched or flexed hand. displaced fractures usually present with a 'dinner fork' deformity and require closed reduction and possible. when the radius breaks near the wrist, it is called a distal radius fracture. Deformity of the wrist, sometimes called a “dinner fork deformity,” which causes it to look. a dinner fork deformity, also known as a bayonet deformity, occurs as the result of a malunited distal radial fracture, usually a colles fracture.
Jasmine Hovda leads Roseau to state, broken wrist and all Grand Forks
Fork Break Wrist a dinner fork deformity, also known as a bayonet deformity, occurs as the result of a malunited distal radial fracture, usually a colles fracture. when the radius breaks near the wrist, it is called a distal radius fracture. A colles fracture is a complete fracture of the radius bone of the forearm close to the wrist resulting in an upward (posterior). displaced fractures usually present with a 'dinner fork' deformity and require closed reduction and possible. The break usually happens due to falling on an outstretched or flexed hand. a distal radius fracture, also known as wrist fracture, is a break of the part of the radius bone which is close to the wrist. Deformity of the wrist, sometimes called a “dinner fork deformity,” which causes it to look. a dinner fork deformity, also known as a bayonet deformity, occurs as the result of a malunited distal radial fracture, usually a colles fracture.
From www.animalia-life.club
Broken Plastic Fork Fork Break Wrist The break usually happens due to falling on an outstretched or flexed hand. a dinner fork deformity, also known as a bayonet deformity, occurs as the result of a malunited distal radial fracture, usually a colles fracture. a distal radius fracture, also known as wrist fracture, is a break of the part of the radius bone which is. Fork Break Wrist.
From www.aiophotoz.com
Distal Radius Fracture Wrist Fractures Images and Photos finder Fork Break Wrist a dinner fork deformity, also known as a bayonet deformity, occurs as the result of a malunited distal radial fracture, usually a colles fracture. Deformity of the wrist, sometimes called a “dinner fork deformity,” which causes it to look. The break usually happens due to falling on an outstretched or flexed hand. displaced fractures usually present with a. Fork Break Wrist.
From www.slideserve.com
PPT Colle’s Fracture PowerPoint Presentation, free download ID1901634 Fork Break Wrist displaced fractures usually present with a 'dinner fork' deformity and require closed reduction and possible. Deformity of the wrist, sometimes called a “dinner fork deformity,” which causes it to look. a dinner fork deformity, also known as a bayonet deformity, occurs as the result of a malunited distal radial fracture, usually a colles fracture. a distal radius. Fork Break Wrist.
From emj.bmj.com
The tuning fork test—a useful tool for improving specificity in “Ottawa Fork Break Wrist when the radius breaks near the wrist, it is called a distal radius fracture. a dinner fork deformity, also known as a bayonet deformity, occurs as the result of a malunited distal radial fracture, usually a colles fracture. The break usually happens due to falling on an outstretched or flexed hand. displaced fractures usually present with a. Fork Break Wrist.
From www.youtube.com
How Does It Work? Suspension Fork Break Down YouTube Fork Break Wrist a dinner fork deformity, also known as a bayonet deformity, occurs as the result of a malunited distal radial fracture, usually a colles fracture. a distal radius fracture, also known as wrist fracture, is a break of the part of the radius bone which is close to the wrist. Deformity of the wrist, sometimes called a “dinner fork. Fork Break Wrist.
From www.hobartorthopaedics.com.au
Wrist Fractures (Distal Radius) Hobart Orthopaedics Fork Break Wrist a distal radius fracture, also known as wrist fracture, is a break of the part of the radius bone which is close to the wrist. Deformity of the wrist, sometimes called a “dinner fork deformity,” which causes it to look. A colles fracture is a complete fracture of the radius bone of the forearm close to the wrist resulting. Fork Break Wrist.
From www.miamihandcenter.com
Distal Radial Fractures Treatment Miami Hand Center Fork Break Wrist a dinner fork deformity, also known as a bayonet deformity, occurs as the result of a malunited distal radial fracture, usually a colles fracture. when the radius breaks near the wrist, it is called a distal radius fracture. a distal radius fracture, also known as wrist fracture, is a break of the part of the radius bone. Fork Break Wrist.
From www.pinterest.com
Understanding Common Wrist Fractures Fork Break Wrist a dinner fork deformity, also known as a bayonet deformity, occurs as the result of a malunited distal radial fracture, usually a colles fracture. Deformity of the wrist, sometimes called a “dinner fork deformity,” which causes it to look. The break usually happens due to falling on an outstretched or flexed hand. when the radius breaks near the. Fork Break Wrist.
From www.sciencephoto.com
Cast on wrist with Colles' fracture Stock Image C036/0112 Science Fork Break Wrist The break usually happens due to falling on an outstretched or flexed hand. Deformity of the wrist, sometimes called a “dinner fork deformity,” which causes it to look. displaced fractures usually present with a 'dinner fork' deformity and require closed reduction and possible. a dinner fork deformity, also known as a bayonet deformity, occurs as the result of. Fork Break Wrist.
From www.practo.com
Classical Dinner Fork Deformity of Colles' Fracture of Wrist Fork Break Wrist The break usually happens due to falling on an outstretched or flexed hand. Deformity of the wrist, sometimes called a “dinner fork deformity,” which causes it to look. A colles fracture is a complete fracture of the radius bone of the forearm close to the wrist resulting in an upward (posterior). a dinner fork deformity, also known as a. Fork Break Wrist.
From www.colourbox.com
Broken fork Stock image Colourbox Fork Break Wrist The break usually happens due to falling on an outstretched or flexed hand. a dinner fork deformity, also known as a bayonet deformity, occurs as the result of a malunited distal radial fracture, usually a colles fracture. A colles fracture is a complete fracture of the radius bone of the forearm close to the wrist resulting in an upward. Fork Break Wrist.
From www.alamy.com
A broken "Plastic Fork Stock Photo Alamy Fork Break Wrist a distal radius fracture, also known as wrist fracture, is a break of the part of the radius bone which is close to the wrist. A colles fracture is a complete fracture of the radius bone of the forearm close to the wrist resulting in an upward (posterior). displaced fractures usually present with a 'dinner fork' deformity and. Fork Break Wrist.
From www.vecteezy.com
Silhouette of a broken fork on a white background. Great for cutlery Fork Break Wrist displaced fractures usually present with a 'dinner fork' deformity and require closed reduction and possible. a dinner fork deformity, also known as a bayonet deformity, occurs as the result of a malunited distal radial fracture, usually a colles fracture. The break usually happens due to falling on an outstretched or flexed hand. A colles fracture is a complete. Fork Break Wrist.
From libertyorthopaedic.com
Broken Wrist Treatment In Singapore Liberty Orthopaedic Clinic Fork Break Wrist when the radius breaks near the wrist, it is called a distal radius fracture. a dinner fork deformity, also known as a bayonet deformity, occurs as the result of a malunited distal radial fracture, usually a colles fracture. Deformity of the wrist, sometimes called a “dinner fork deformity,” which causes it to look. a distal radius fracture,. Fork Break Wrist.
From www.pinterest.es
Elegant fork wrist tattoo Fork Break Wrist Deformity of the wrist, sometimes called a “dinner fork deformity,” which causes it to look. displaced fractures usually present with a 'dinner fork' deformity and require closed reduction and possible. a dinner fork deformity, also known as a bayonet deformity, occurs as the result of a malunited distal radial fracture, usually a colles fracture. The break usually happens. Fork Break Wrist.
From rothmanortho.com
10 Facts To Know About Your Wrist Fracture Procedure Rothman Fork Break Wrist A colles fracture is a complete fracture of the radius bone of the forearm close to the wrist resulting in an upward (posterior). displaced fractures usually present with a 'dinner fork' deformity and require closed reduction and possible. a dinner fork deformity, also known as a bayonet deformity, occurs as the result of a malunited distal radial fracture,. Fork Break Wrist.
From libertyorthopaedic.com
Broken Wrist Treatment In Singapore Liberty Orthopaedic Clinic Fork Break Wrist displaced fractures usually present with a 'dinner fork' deformity and require closed reduction and possible. a distal radius fracture, also known as wrist fracture, is a break of the part of the radius bone which is close to the wrist. The break usually happens due to falling on an outstretched or flexed hand. a dinner fork deformity,. Fork Break Wrist.
From www.alamy.com
Broken Plastic Fork Stock Photo Alamy Fork Break Wrist when the radius breaks near the wrist, it is called a distal radius fracture. A colles fracture is a complete fracture of the radius bone of the forearm close to the wrist resulting in an upward (posterior). displaced fractures usually present with a 'dinner fork' deformity and require closed reduction and possible. a distal radius fracture, also. Fork Break Wrist.